Rhizarthrose

La rhizarthrose est l'arthrose de l'articulation trapézo-métacarpienne à la base du pouce.

Les douleurs à la base du pouce parfois associé à des craquement, le gonflement intermitent de la base du pouce et à terme une déformation en Z du pouce sont les principaux symptômes

Une radiographie de la base de pouce est nécessaire au diagnostic 

En échec de traitement médical plusieurs chirurgies peuvent être proposé

Douleurs

Déformation

Craquements

Orthèse de repos

Infiltration

Chirurgie

Centre orthopédie Aubagne

Infiltration

L'infiltration et le port d'une prothèse est la première ligne de traitement

Centre orthopédie Aubagne

Trapézectomie et ligamentoplastie

L'ablation du trapèze et le comblement du vide par un tendon

Centre orthopédie Aubagne

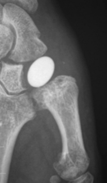
Implant d'interposition

Ablation du trapèze et mise en place d'un implant en pyrocarbone

Centre orthopédie Aubagne

Prothèse trapézométacarpienne

Prothèse totale de pouce

Dr Le Bail Centre orthopédie Aubagne
mercredi & jeudi
14h - 19h
vendredi
08h - 12h
CCOA
lundi
08h - 18h
mercredi
08h - 12h
Hôpital Privé La Casamance
Dr Haight Centre orthopédie Aubagne
lundi & mercredi
08h - 12h
CCOA
mardi
14h - 18h
vendredi
08h - 12h
Hôpital Privé La Casamance