Hallux Valgus

L'Hallux Valgus (ou oignon du gros orteil) est une déformation évolutive du gros orteil

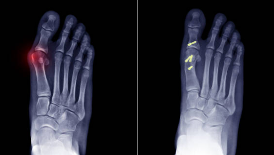
La déformation du gros orteil et l'apparition d'une bosse est caractéristique dans l'Hallux Valgus

Cette déformation est à l'origine de douleurs, de difficultés au chaussage et de difficulté à la marche.

La diagnostic est clinique

Une radiographie du pied est nécéssaire pour confirmer le diagnostic et programmer l'intervention

L'intervention chirurgicale consiste à réaxer le 1er métacarpien en bonne position et raboter la bosse

Cette intervention est réalisé de manière mini-invasive (petite cicatrice) par le Dr DESSYN

Douleurs

Oignon au pied

Problème de chaussage

Durillon

Ré-axation chirurgical

Mini-invasif

Dr Dessyn Centre orthopédie Aubagne
lundi
14h - 19h
mardi & vendredi
14h - 18h
mercredi
08h - 12h
CCOA
mardi
08h - 12h
jeudi
08h - 12h30
Hôpital Privé La Casamance