Hallux Rigidus

L'Hallux rigidus est l'arthrose dégérative du gros orteils

Cette arthrose est à l'origine de douleurs, d'un enraidissement et une déformation du gros orteil. S'en suit des difficultés à marcher normalement et à se chausser

En cas de d'échec de traitement médical (antalgique, anti-inflammatoire, chaussure adapté et kiné) un traitement chirurgicale peut être proposé

L'intervention consiste à bloquer l'articulation à l'aide de vis ou d'une plaque

Gros orteils

Douleurs

Marche bord externe du pied

Arthrose

Déformation

Arthrodèse

Centre orthopédie Aubagne

Symtômes

La douleurs, la déformation et l'enraidissement de l'hallux, la nécéssité de marcher sur le ord externe du pied sont le ssignes fréquents

Centre orthopédie Aubagne

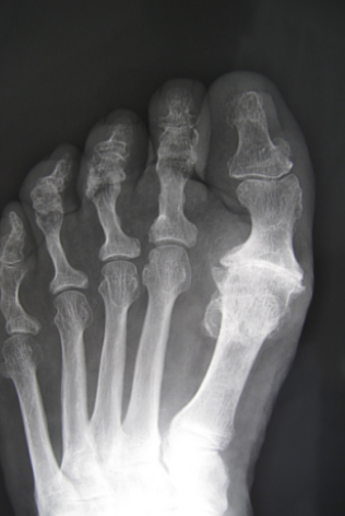
Radiographie

Une radigraphie du pied mettra en évidence l'arthrose de la base de l'Hallux

Centre orthopédie Aubagne

Traitement

Des antalgiques, des antiinflammatoire, un chaussage adapté voir une infiltration peuvent être proposé

Centre orthopédie Aubagne

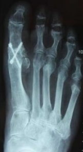
Chirurgie

Le but est de soudé l'articulationn usé (arthrodèse) à l'aide de vis ou d'une plaque

Dr Dessyn Centre orthopédie Aubagne
lundi
14h - 19h
mardi & vendredi
14h - 18h
mercredi
08h - 12h
CCOA
mardi
08h - 12h
jeudi
08h - 12h30
Hôpital Privé La Casamance